Have you ever heard of tooth anomalies such as fusion and germination? There are some anomalies in the size of the tooth that are rarely encountered.
Germination is the anomaly when the single tooth bud splits into two and results in the formation of two teeth.
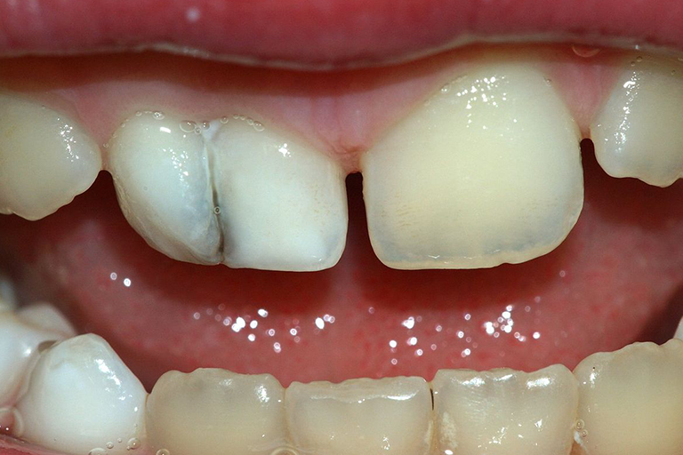
What is Tooth Germination?
As per evidence, in Caucasians, 2.5 percent while in the Asian population, 5 percent of children experience such anomalies, and hence these are rarely seen. Tooth Germination takes place when a single tooth bud gets split and results in the formation of two teeth. This might increase tooth count. Tooth germination characteristically looks like a tooth is enlarged as the split does not take place and there is no separation of crowns. Sometimes germination can be confused with tooth fusion of tooth but these are not the same.
Germination can affect both the primary as well as permanent teeth but is more commonly seen in primary teeth, especially in the incisor teeth region.
Since the enamel in this anomaly is irregular so these teeth appear disfigured.
Difference between Fusion and Germination
Fusion and germination are two different categories but it is difficult to differentiate between them. These teeth have separate pulpal spaces, two canals and a single pulp chamber or these can be in the form of a bifid large crown having a single pulpal space.
Fusion can be differentiated from germination by a reduction in the number of teeth.
Treatment for Germination
Various dental treatments (mostly in combination) are recommended for anomalies like germination that include:
- Endodontic
- Direct or indirect restoration,
- Surgical intervention,
- Periodontal Treatment
- Or Orthodontic Treatment
A very aggressive intervention is not recommended however an esthetic rehabilitation can always be done.
What to do?
The management depends upon the involved tooth. Close monitoring of germinated teeth needs to be done by parents. These teeth are prone to decay and cavitation, as the interdental space or the space in between the crowns is restricted which can make brushing and flossing difficult.
Another problem that can be encountered with geminated teeth is that these may possess trouble when falling off due to the complex shape of the roots. So, these primary teeth may require extraction as these may fail to fall on their own. This is essential because under the geminated teeth usually two permanent buds will develop and these can hinder in their normal pattern of eruption. Also, these can result in the crowding of permanent teeth by unnecessarily taking the space of their eruption pathway.
There are situations where permanent teeth are missing below the germinated teeth and it requires special orthodontic intervention.
If your kid has germination or fusion of teeth, it is not necessary that the permanent teeth will also be affected. Adult teeth with these phenomena are very rare.
Patients can also decide to leave such teeth as such without any intervention. These can be surgically separated and hence avoid extraction. If these are big the tooth size can be reduced to some extent.

Bottomline
Lastly and most importantly, germination is not a cause of concern and danger for your kid most of the time. Just keep a check on the maintenance of good oral hygiene and make regular dental visits to have an idea about the proper development of the permanent teeth.


