
Everything You Need to Know About Tooth Germination
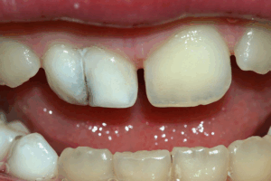
Have you ever heard of tooth anomalies such as fusion and germination? There are some anomalies in the size of the tooth that are rarely

Have you ever heard of tooth anomalies such as fusion and germination? There are some anomalies in the size of the tooth that are rarely

The Arabian Peninsula is found to be richest in the palm trees and hence dates are one of the most famous foods in Arab and

The first case of monkeypox in humans was reported in 1970. It is evidenced to be prevalent in Central and West Africa. Many of us

Pill Sedation or oral sedation is a type of sedation method used in dentistry to reduce the fear and anxiety of patients during treatment. The

Human body is 60 percent water. There is no better drink than water for the human body. It helps in flushing out of toxins, keeps

The participation of your kid in any kind of physical activity is a source of happiness and contentment as not only does it raise a

Habits die hard and long-term habits along with their negative impact on health pose a challenge when we try to stop them. Nail-biting is a

Sedation dentistry is to make dental treatment more convenient and comfortable. It is usually preferable for treatments of long duration and in anxious patients. It

Dubai is one of the best cities for planning vacations. And if you are looking for a luxurious dental treatment along with a vacation then

Regular teeth brushing is a very basic and necessary step towards the good health of teeth. There are certain methods in addition to teeth brushing