A smile can hide a mess. Rotten teeth aren’t just unpleasant to look at. They’re a warning sign. Tooth decay is one of the most common health problems on the planet, but it rarely gets treated like one. People delay treatment until the pain gets unbearable or something breaks.
Let’s skip the sugarcoating. Rotten teeth are decayed teeth. They’re the result of bacteria turning sugar into acid, eating through enamel until the damage goes deep enough to cause pain, infection, and tooth loss. And once enamel’s gone, it’s gone.
What Rotten Teeth Actually Are
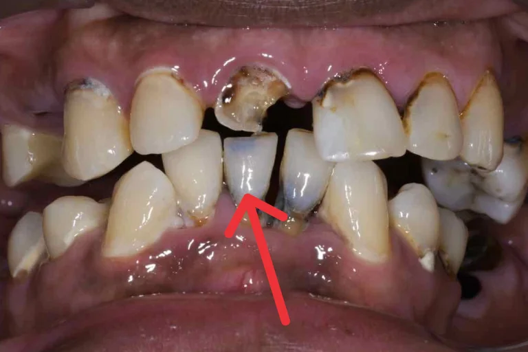
A rotten tooth is one that’s been structurally damaged by decay. It starts with acid-softened enamel. Over time, small weak spots turn into visible holes. These cavities deepen, eventually reaching the nerve. Along the way, you’ll see discoloration, white in early stages, brown or black when the damage gets worse.
It’s not reversible. Once decay gets past the outer layer, repair means intervention. Not toothpaste.
Where Tooth Decay Begins
Every time you eat, especially sugar or starch, bacteria in your mouth get busy. They convert food into acid, which erodes enamel. Saliva normally buffers this acid. But if you’re constantly snacking, or if your mouth’s dry, that protection fails.
The result is steady, quiet erosion. You don’t feel it right away. That’s part of the problem.
Causes of Rotten Teeth
Poor oral hygiene
Brushing and flossing clear plaque, the bacteria-laden film that coats your teeth. Skip it long enough, and plaque hardens into tartar. That’s harder to remove, and far more damaging.
Diet
Sugar is the obvious villain, but don’t ignore starch. Crackers, cereal dust, dried fruit, anything that clings to teeth feeds acid-making bacteria. Sip soda all day, and you’re giving them a 24-hour buffet.
Dry mouth
Saliva protects your teeth. Medications, illness, and age can reduce it. Without it, bacteria thrive.
Fluoride deficiency
Fluoride strengthens enamel. Most tap water has it, but bottled water often doesn’t. If you’re not using fluoride toothpaste either, your enamel is on its own.
Tooth anatomy
Molars have deep grooves that trap food. Front teeth are smoother and easier to clean. Decay likes crevices.
Other risk factors
Smoking, alcohol, GERD, frequent vomiting, and worn dental work all make it easier for bacteria to settle in and harder for you to keep them out.
Baby bottle decay
Letting a child sleep with a milk or juice bottle means their teeth sit in sugar for hours. Baby teeth may be temporary, but the damage can linger.
Early Signs of Rotten Teeth
Decay starts quietly. No pain, no drama. Just a little staining, maybe sensitivity. Then it gets worse.
- Toothaches.
- A sharp jolt from something cold.
- A bad taste in your mouth that won’t go away.
- Visible holes
- Swollen gums
- Abscesses
- If biting down starts to hurt, you’ve probably got nerve involvement.
In kids, you might notice fussiness, fever, or red gums. Check their mouth before you guess.
What Happens If You Ignore the Problem
Decay doesn’t wait. You can’t outlast it with wishful thinking.
Pain will get worse. Sensitivity will become constant. Eating will get difficult. Eventually, you may lose the tooth. That can affect your appearance, your bite, and your overall health.
Infections can spread. An untreated abscess can send bacteria into your bloodstream. That’s not just dental anymore. That’s systemic.
It can lead to sepsis, endocarditis, or meningitis in some rare cases. But it happens.
Treatment Options for Rotten Teeth
Catch decay early, and fluoride treatments might help. These can stop or even reverse shallow spots. Silver diamine fluoride is also used, especially in kids, to arrest progression.
If the cavity’s already formed, your dentist will remove the decay and fill the hole. Composite resin blends in with your tooth. Amalgam doesn’t, but it’s durable.
If the damage is deeper, a crown may be needed to restore strength. Once the decay hits the pulp, a root canal is usually the only way to save the tooth. That means cleaning out infected tissue and sealing the root.
If it’s too far gone, extraction is necessary. Replacement options include implants, dentures, or bridges.
Even baby teeth sometimes need root canals. Losing them too early can throw off adult tooth alignment. It’s not about vanity. It’s mechanics.
The Basics That Actually Work
- Twice a day brush your teeth with Fluoride toothpaste.
- Floss once and drink tap water.
- Skip sugary snacks, don’t sip soda all day.
- If you have kids, don’t put them to bed with milk or juice bottles.
- Get dental sealants if you’re prone to decay.
- Show up to your check-ups.
Takeaway
Teeth don’t heal. Once decay sets in, it only moves forward. Enamel lost is gone for good, and the longer you wait, the fewer treatment options you have. Rotten teeth aren’t just a cosmetic issue, they’re a medical one. Early care from the best dentists in Dubai and for kids’ from our pediatric dentists in Dubai means simpler, less expensive fixes. Delay it, and you risk infections, extractions, or more serious complications. If your teeth hurt, look stained, or you haven’t seen a dentist in a while, don’t wait for it to get worse.
Contact Oris Dental Center today to stop decay in its tracks and protect what still can be saved.


