Hyperdontia is a medical term used when an extra tooth grows along with the typical sets of teeth. These extra teeth grow directly behind or close to your primary or permanent teeth.
Hyperdontia is a very rare condition as only 1% to 4% of the total population experience it. It is more common in males. Many people with hyperdontia do not need any treatment and can live with it.
Read more about hyperdontia, whether it is dangerous, pain management of the extra tooth, and when and whether to remove it.
What Is Hyperdontia?
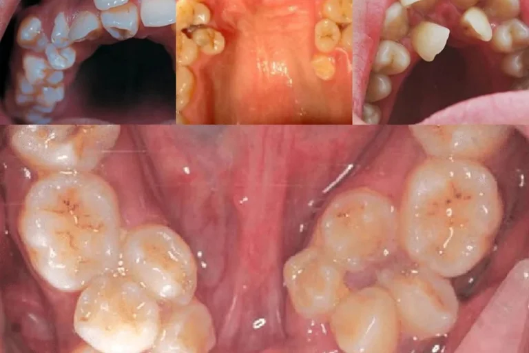
When you are a child, you may grow 20 primary teeth, which will be replaced by 32 permanent teeth. But in very rare cases, you may develop extra teeth that can either be permanent teeth or primary teeth. These extra teeth are also called supernumerary teeth.
Children with more than 20 teeth and adults with more than 32 teeth have hypodontia. These extra teeth can emerge in any part of the mouth but are most commonly found near the upper front teeth (mesiodens) or near the molars (paramours and distomolars).
The exact cause of hypodontia is not always clear, but it has been linked to genetic factors and certain medical conditions such as cleft lip, cleft palate, and Gardner’s syndrome.
Types of Supernumerary Teeth
Supernumerary teeth can be categorized based on their location and shape. They are,
1. Based on Location
- Mesiodens: Extra teeth that develop between the two central upper front teeth.
- Paramolars: Additional teeth that grow near the molars.
- Distomolars: Teeth that emerge behind the third molars (wisdom teeth).
- Pre-molars: Extra teeth found near the premolars.
2. Based on Shape
- Conical: Small, peg-shaped teeth that develop between regular teeth.
- Tuberculate: Barrel-shaped teeth with multiple cusps.
- Supplemental: Extra teeth that resemble the normal ones.
- Odontoma: Masses of dental tissue that form irregularly.
Pain and Discomfort From Extra Teeth
Not all with hyperdontia experience pain, but there are chances that hyperdontia can cause pain, discomfort, or pressure in the gums and jaw. These complications mostly happen when the extra tooth disrupts the natural alignment of teeth or exerts pressure on adjacent teeth. Also, improper eruption of the supernumerary tooth can lead to gum inflammation and infections.
Some common symptoms of hyperopia include,
- Pain or tenderness in the affected area
- Swelling or redness in the gums
- Difficulty chewing or biting
- Teeth crowding or misalignment
- Development of cysts around the extra tooth
If you feel any complication caused by an extra tooth disrupts you, then it is best to consult with a dentist. They can help alleviate the pain and discomfort.
Teeth That Grow on the Gums
Sometimes, extra teeth may not grow in the usual positions and instead emerge from the gums or even the roof of the mouth (palatal area). This can cause oral discomfort, difficulty in speech, and an increased risk of gum infections. In some severe cases, surgical removal of extra teeth may be necessary to prevent complications.
Is Hyperdontia Dangerous?
Hyperdontia is not a dangerous condition as it is not a life-threatening one. But it may lead to several complications. That includes,
- Crowding of teeth can cause misalignment and bite issues.
- Difficulty maintaining oral hygiene due to hard-to-reach areas.
- Risk of dental cysts or tumors forming around the extra teeth.
- Increased risk of gum disease or tooth decay due to plaque buildup.
- Interference with normal tooth eruption, leading to impaction.
If hyperdontia does not cause discomfort or dental issues, no treatments are required. However, dental intervention may be necessary in cases where complications arise.
Can Braces Fix Hyperdontia?
Braces cannot fix hyperdontia, but it can help correct the misalignment caused by hyperdontia.
If the supernumerary teeth cause significant crowding, they may need to be extracted before orthodontic treatment. In such cases, after removing extra teeth, the gaps left by them are closed with the help of braces.
Treatment for Hyperdontia
Treatment for hyperdontia depends on the severity and impact of the extra teeth. Some of the most used standard treatment options include,
- Regular Monitoring
- Extraction
- Orthodontic Treatment
- Surgical Intervention
1. Monitoring
In most cases, the extra teeth are not causing any issues. So, your dentist may recommend regular monitoring to ensure they do not lead to future complications.
2. Extraction
In cases where supernumerary teeth cause discomfort, crowding, or interference with normal tooth eruption, a dentist typically performs an extraction under local anesthesia.
3. Orthodontic Treatment
After an extra tooth is extracted, braces or other orthodontic treatments may be required to correct alignment issues and ensure a properly aligned bite.
4. Surgical Intervention
In some extreme hypodontia cases where it causes severe complications or is embedded deeply, then a minor surgical procedure may be needed to remove them safely.
Extreme Hyperdontia
Extreme hyperdontia refers to cases where multiple extra teeth develop. It is a rare condition and is often associated with genetic disorders such as Cleidocranial Dysplasia or Gardner’s Syndrome. Extreme hyperdontia may require extensive dental treatments, including multiple extractions and orthodontic correction.
Final Thoughts
Hyperdontia, or the presence of extra teeth, is a very rare but manageable condition. While some individuals may not experience any complications, others may face dental issues that require treatments. Pain management, orthodontic correction, and, in some cases, extraction are common solutions for hyperdontia-related problems.
However, consulting a dentist can help you maintain optimal oral health by helping you decide whether to remove them or not. Contact Oris Dental Center to consult with experienced dental professionals to treat hypodontia.


