Our Blogs
Smile Better
Read Our Blog

10 Reasons Behind Sour or Bitter Taste in Your Mouth
It is expected to have a sour taste in your mouth when you eat something bitter, such as chicory or black coffee. It is not

Dental veneers – A single procedure for multiple concerns
Do you want an impressive smile makeover? Are there any noticeable structural anomalies or damages on your teeth? Are you looking for an amazing remarkable

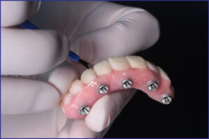
Everything You Need to Know About Dental Implant Infection
A picture perfect smile is what everyone loves to flash. But not quite often are people blessed with the best. Cut to the present, the

Mask Mouth – New Oral Problems amid Covid-19 concerns in Dubai
With Covid-19 taking a lot of twists and turns everywhere, the entire world is preparing itself to face, fight and survive the pandemic. Safe guarding

Do you know why our dentist prefers in-office teeth whitening
Everyone around the world consider a beautiful bright smile as their best social asset. “Hollywood smiles” with “pearly white teeth” is the most sought

What are same day implants?
Same day implants as the name implies refers to loading of dental implants in a single visit, and the full process is completed on a

From ordinary to extraordinary smiles
From ordinary to extraordinary smiles A beautiful smile connects all the hearts together. A smile is the human’s most essential and effective communication tool. Oris

Have a brighter smile with Zirconia translucent veneer
Zirconia translucent veneers offer a long lasting impression on your social life. You are assured of a bright and beautiful smile. Veneers are the materials

When should you use dental Floss? Before or after brushing?
People need to understand the importance of dental hygiene and the best practices for maintaining a healthy smile. One of the most common questions asked