Our Blogs
Smile Better
Read Our Blog

Invisalign vs Braces in Dubai: Which Orthodontic Option Should You Pick?
Straightening teeth isn’t just about vanity. It’s about function, bite health, and keeping your mouth in good working order. The problem? You’ve got options, and

Why Your Lips Are Getting Dark and How to Fix It
Dark lips are one of the most common cosmetic concerns as it affects nearly 40% of people according to a study published in the Journal

What Are Rotten Teeth? Signs, Causes, and When to See a Dentist
A smile can hide a mess. Rotten teeth aren’t just unpleasant to look at. They’re a warning sign. Tooth decay is one of the most

Thin Skin Under Eyes: Symptoms, Causes and Treatments
Both dark circles and thin skin under the eyes are common concerns. Because it often makes individuals appear tired or older. While usually not a

Dental Emergencies in Dubai: Your 24/7 Guide to Urgent Care and Prevention
Dental Emergencies in Dubai can strike unexpectedly, requiring immediate attention to relieve pain and prevent serious complications or tooth loss. Thankfully, a 24-hour dental clinic

Mouth Ulcer Treatment in Dubai: Treatments and Remedies
Mouth ulcers may look harmless, but if you’ve had one, you know how they can disrupt a typical day. Every bite of spicy mandi, sip

Gingival Hyperplasia: Symptoms, Causes, and Treatment
Gums should frame your smile, not take it over. When they start looking puffy or swelling around parts of your teeth, then you might be

Nonsurgical Facelift – Benefits and Best Ones
Surgical facelifts tighten the loosened skin, reposition tissue, and deliver big changes. But they also involve downtime, scars, and real risk. A nonsurgical facelift isn’t

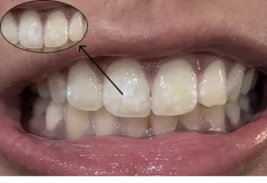
White Spots On Teeth: How To Remove Them
Maintaining the teeth color as white by removing the stains is the success of good oral hygiene, but have you heard of discoloration of natural