مدوناتنا
ابتسم بشكل أفضل
اقرأ مدونتنا

تعاني من رائحة الفم المزعجة !! ماهي الأسباب و العلاج
هناك امراض و مشاكل كثيرة يعاني منها أغلب الناس فيما يتعلق بموضوع صحة الفم. في هذه المقالة ، سوف نتعمق في مسألة رائحة الفم الكريهة

أخطاء يومية تؤذي بشرتك
الحفاظ على بشرة صحية ومشرقة هو هدف يتقاسمه الكثيرون. ومع ذلك ، على الرغم من ظننا بالقيام بما يجب لحماية بشرتنا ، فإننا غالبا ما

جراحة قطع الجذر – استئصال كيس الجذر
عندما يتعلق الأمر بصحة الفم ، قد لا تكون علاجات الأسنان القياسية كافية لمعالجة حالات معينة. في مثل هذه الحالات تأتي الإجراءات المتخصصة مثل جراحة

Myobraces تكنولوجيا جديدة في علاج مشاكل الأسنان
يمكن أن تؤثر الابتسامة السيئة بشكل كبير على تقديرنا لذاتنا وتفاعلاتنا الاجتماعية بشكل عام. يرغب الكثير من الناس في الحصول على أسنان أكثر جاذبية ،

كيف تقنع طفلك بزيارة طبيب الأسنان
يعاني العديد من الأطفال من القلق والخوف من زيارة طبيب الأسنان، وهذا يمكن أن يجعل زيارات الأسنان تجربة محبطة ومرهقة بالنسبة لهم. كوالدين، يجب عليكم

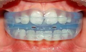
واقي الاسنان الليلي ( النايت غارد )
واقي الأسنان الليلي هو قالب يوضع على الاسنان قبل النوم مصمم لحماية أسنانك من الصرصرة و الطحن أو انقباضها على بعضها أثناء النوم. هو قالب

حقائق حول زراعة الأسنان
هل تعتبر زراعة الاسنان اجراء مؤلم ؟ عادةً ما تتضمن عملية زراعة الاسنان بعض الألم ، لكن معظم الناس يجدون أن الإجراء غير مؤلم نسبيًا.

أمراض اللثة بين أسبابها و طرق علاجها
ماهو مرض التهاب اللثة ؟ تشير أمراض اللثة ، المعروفة أيضًا باسم التهاب الانسجة اللثوية الداعمة للأسنان ، إلى مجموعة من الحالات المرضية التي تؤثر

هل يعتبر الفينير حل بديل لتقويم الاسنان ؟
فينير الأسنان هو إجراء اصبح شائعا و مطلوبا في طب الأسنان التجميلي بحيث يمكن أن يحسن مظهر الأسنان الملتوية أو المتكسرة أو المتصبغة . ومع