يمكن أن تؤثر الابتسامة السيئة بشكل كبير على تقديرنا لذاتنا وتفاعلاتنا الاجتماعية بشكل عام. يرغب الكثير من الناس في الحصول على أسنان أكثر جاذبية ، ولكن فكرة ارتداء تقويم معدني تقليدي قد تكون محبطة. و لهذه الأسباب ، أدت التطورات في علاج تقويم الأسنان إلى ظهور بدائل مبتكرة مثل الدعامات العضلية ، و التقويم الشفاف، والمثبتات أو المايو بريس . في هذه المقالة ، سوف نستكشف فوائد المايو بريس وكيف أنها تغير مجال تقويم الأسنان التجميلي
ماهو تقويم الأسنان وما هي الأقواس التقليدية
تقويم الأسنان هو فرع متخصص من طب الأسنان يركز على تصحيح تراكب الاسنان وهيكل الفك. و الأقواس التقليدية تتكون من أقواس وأسلاك معدنية ، بحيث كانت العلاج التقليدي لتقويم الأسنان لعقود. في حين أنها فعالة للغاية ، إلا أن ظهورها الواضح في الفم وعدم الراحة التي تسببت به جعل الكثير من الناس يبحثون عن خيارات بديلة.
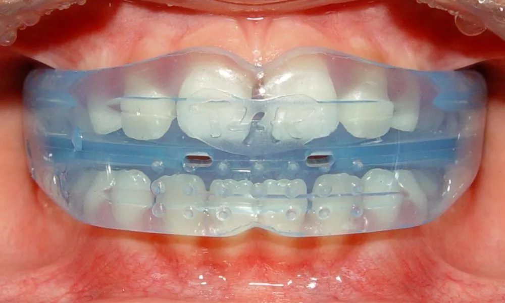
ماهي الدعامات العضلية الفكية (مايو بريس )
تمثل الدعامات العضلية نهجًا ثوريًا لتقويم الأسنان ، حيث تقدم علاجًا شاملاً يتجاوز مجرد تقويم الأسنان. تم تصميم هذه الأجهزة لمعالجة الأسباب الكامنة وراء الأسنان المتراكبة و المنحرفة ، بما في ذلك تطابق الفم غير المتناسق وأنماط التنفس والضعف العضلي. تستخدم دعامات عضلات الفم سلسلة من الأجهزة الفموية القابلة للإزالة التي تساعد على إعادة تدريب عضلات الفم ، تصحيح وضع اللسان وعادات التنفس الصحية
فوائد الدعامات العضلية الفكية (مايو بريس )
تمرين عضلات الوجه و الفك : تم تصميم دعامات الأسنان العضلية لتدريب وتطوير عضلات الوجه واللسان والشفتين لتحسين وظيفتها و تصحيح اي سلوك خاطئ لعضلات الفكين
التوقف عن ممارسة عادات خاطئة : تهدف دعامات العضل إلى تصحيح عادات الفم مثل اخراج اللسان خارج الفم ، ومص الإبهام والتنفس من الفم ، وأنماط البلع غير الصحيحة
تقويم تطور الفك والأسنان: تمارس دعامات الأسنان العضلية قوى لطيفة على الأسنان والفكين ، وتحفز النمو والتطابق السليم. يمكن أن تساعد في توجيه نمو الفكين ، وتشجيع النمو الأمامي للفك العلوي ، وتوسيع أقواس الأسنان. هذا يمكن أن يخلق مساحة أكبر للأسنان الدائمة ويحتمل أن يقلل من الحاجة إلى تقويم الأسنان التقليدي في المستقبل المحاذاة والاستقامة: بينما تركز الدعامات العضلية في المقام الأول على تدريب العضلات وتطوير الفك ، فإنها يمكن أن تساهم أيضًا في درجة معينة من محاذاة الأسنان وتقويمها

بماذا تتميز الدعامات العضلية الفكية (مايو بريس )
الشفافية : على عكس الأقواس التقليدية ، تكون الدعامات العضلية غير مرئية تقريبًا عند ارتدائها ، مما يجعلها خيارًا ممتازًا للأفراد الذين يرغبون في تقويم أسنانهم بدون الشعور بالاحراج
مريحة: الدعامات العضلية مصنوعة من مواد ناعمة وعالية الجودة تكون لطيفة على اللثة والأسنان ، مما يضمن رحلة علاج لتقويم الأسنان مريحة
لا توجد قيود غذائية: على عكس الأقواس التقليدية ، يمكن إزالة المشابك العضلية ، مما يسمح للأفراد بالاستمتاع بأطعمتهم المفضلة دون أي قيود
العلاج الشامل: لا تقوم الدعامات العضلية بتقوية الأسنان فحسب ، بل تصحح أيضًا عادات الفم الأساسية ، مما يؤدي إلى تحسين التنفس و تقويم شكل الفك ايضا وصحة الفم بشكل عام
لم يعد الحصول على ابتسامة أكثر استقامة وتحسين صحة الفم يقتصر على الأقواس التقليدية. حيث تقدم الدعامات العضلية ، والتقويم الشفاف ، و المثبتات خيارات بديلة توفر علاجًا تقويميًا فعالًا ومريحًا و غير مرئي . سواء كنت تفضل القيام بوضع تقويم شفاف او المايو بريس ، فإن هذه الحلول المبتكرة قد غيرت مجال تقويم الأسنان ، مما يسهل على الأفراد تقويم أسنانهم وتحقيق ابتسامة أحلامهم. استشر أخصائي تقويم الأسنان لتحديد الخيار الأنسب لاحتياجاتك الخاصة ، واتخاذ الخطوة الأولى نحو ابتسامة واثقة ومشرقة!



